Resultados promissores em testes clínicos
Um ensaio clínico com 38 pessoas com degeneração macular avançada em fase terminal mostrou resultados animadores. Após um ano do implante, 80% dos participantes tiveram melhora clinicamente significativa na capacidade visual.
Os pacientes conseguiram ler letras, palavras e retomar funções cotidianas antes impossíveis. Essa recuperação funcional demonstra o potencial do sistema para transformar a qualidade de vida de pessoas com graves limitações visuais.
Como o sistema funciona
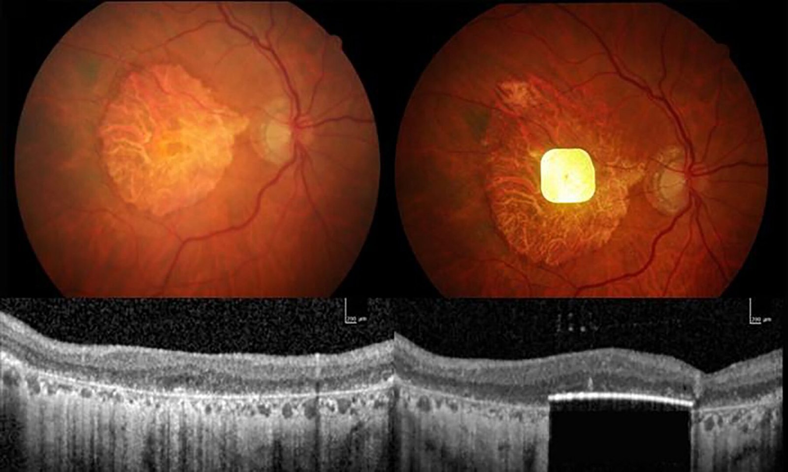
Tecnologia do implante PRIMA
O sistema PRIMA combina óculos especiais com câmera integrada e implante retinal. A câmera captura imagens do ambiente e as converte em padrões de luz infravermelha, transmitidos para o implante.
Esse processo permite que o usuário perceba formas e contornos antes completamente obscurecidos. O sistema oferece controles para:
- Aproximar e afastar objetos
- Ajustar contraste e brilho
Essas funcionalidades personalizam a experiência visual para diferentes situações do dia a dia.
Treinamento necessário para uso ideal
Período de adaptação
O sistema demanda meses de treinamento intensivo para uso otimizado. Esse processo de aprendizado é essencial para explorar todas as capacidades do dispositivo.
A familiarização gradual com a tecnologia permite desenvolver novas habilidades de interpretação visual. Ao final do estudo, a maioria dos receptores já usava o PRIMA em casa para ler letras, palavras e números.
Avaliação dos usuários
Satisfação com o sistema
Dos 32 participantes que responderam à pesquisa de satisfação, 22 relataram contentamento de médio a alto com o sistema. Essa avaliação positiva indica benefícios tangíveis para a maioria dos usuários.
A percepção de melhoria na qualidade de vida foi um fator determinante. Porém, a leitura através do dispositivo não é rápida nem fluida, representando um processo mais lento e deliberado.
Limitações do sistema atual
Especificações técnicas
O sistema PRIMA possui apenas 381 pixels, cada um medindo 100 micrômetros quadrados. Essa resolução relativamente baixa explica por que a leitura não alcança a velocidade e fluidez da visão natural.
A qualidade visual é em preto e branco, não em cores. A visão monocromática, combinada com a baixa resolução, cria uma experiência visual bastante diferente da percepção normal.
Potencial para outras condições
Aplicações futuras
O dispositivo foi testado em pessoas com degeneração macular avançada, mas poderia ajudar a restaurar a visão em outras condições onde células fotorreceptoras morrem, mas outros neurônios retinianos permanecem funcionais.
A retinite pigmentosa é um exemplo dessas condições. A expansão para outras indicações médicas dependerá de novos estudos e adaptações tecnológicas.





